Sumqayıt Travmatologiya şöbəsində əməliyyat üçün pul aldılar-Şikayət
Redaksiyamıza müraciət edən vətəndaş Əliyev Təbrizin anası bildirib ki, oğlunun sağ ayağından aldığı zədə ilə Sumqayıt Travmatologiya şöbəsinə müraciət edib.
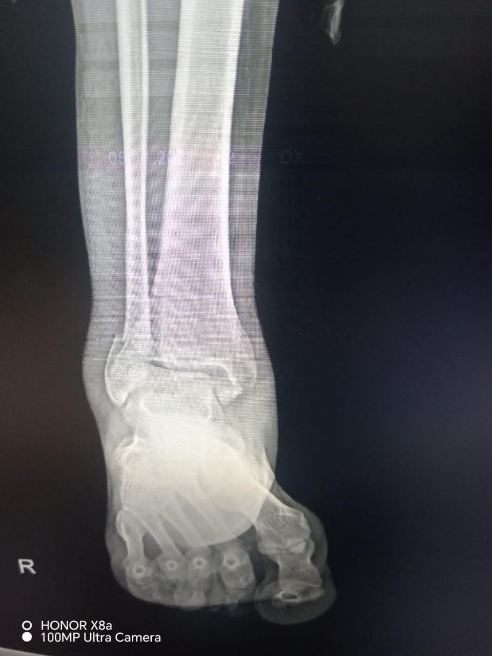
Rentgen müayinəsindən sonra vətəndaşa ayağında üç yerdən sınıq və ya qırıq olduğu bildirilərək mil (metall konstruksiya) taxılması məqsədilə əməliyyata cəlb olunub.
Tribunainfo.az-a şikayətini bildirən vətəndaşın sözlərinə görə, əməliyyat icbari tibbi sığorta çərçivəsində aparılsa da, ondan 800 manat məbləğində ödəniş alınıb. Əməliyyatı həyata keçirən Fuad adlı cərrah olub.
Xəstənin anası səhiyyəyə şikayət etsə də, vətəndaşa “get hara şikayət edirsən, et”, – deyilib.
Halbuki TƏBİB-in məsul əməkdaşları mətbuata verdikləri açıqlamalarda, müsahibələrdə dəfələrlə bildiriblər ki, sığorta çərçivəsində keçirilən əməliyyatların, hətta orqan transplantasiyaları belə, xəstələr üçün tam ödənişsizdir.
Məlumat üçün qeyd edək ki, vətəndaşın rentgen görüntüləri də redaksiyamıza təqdim olunub.
Hadisə ilə bağlı açıqlama verən tibbi ekspert, həkim-terapevt Rasif Bağırov qeyd edib ki, ümumiyyətlə, hal-hazırda cərrahi əməliyyatlarda sığorta ilə əməliyyat olunan xəstələrin heç birindən 1 manat belə pul alınmamalıdır. Mən başa düşə bilmirəm, ürəyə stend qoyurlar xəstələrdən ödəniş almırlar. Amma, xüsusilə travmotoloqların gəlib xəstələrdən bu qədər pul almağı düzgün deyil. Qanun var, pulsuz əməliyyat etməlisən. Çünki hökumət sənə sığorta ilə pul verir. Əlavə olaraq sən niyə xəstələrdən pul tələb edirsən?! Ona görə də, demək istəyirəm ki, hal-hazırda bizim də qulağımıza bəzi səs-soraqlar gəlir ki, açıq-aydın, dil ilə xəstələrdən pul istəyirlər. Bu artıq azğınlaşmadır. Əvvəlki dönəmlərdə xəstələrdən külli miqdarda pul alınırdı. İndi, həmin o pulu ala bilməyəndə azğınlaşmağa başlayıblar. Konkret qərar çıxarılıb ki, pul almaq olmaz. Bu qanunsuzluqdur.
Məsələ ilə bağlı TƏBİB-ə sorğu yolladıq. Hadisə hazırda onlar tərəfindən araşdırılır.















